Глобальный портал актуальных спортивных новостей.

Энциклопедия владельца птицы

Доска объявлений

Куплю:
Продам:
Возьму:
Отдам:

Подрезка перьев на крыльях, резать или нет?
Для чего даны нам крылья?


Есть важное решение, которое должен принять каждый обладатель птицы. Строго говоря, его стоит принять еще до того, как птица окажется у вас дома. Будучи заботливыми хозяевами, мы, разумеется, хотим убедиться в правильности своего выбора и, чтобы не ошибиться, изучаем все возможные источники информации. О каком же решении я говорю? Вы уже догадались – это вечный вопрос, подрезать или не подрезать. В своей статье я собрала воедино полезную, хотя местами и противоречивую, информацию о подрезании перьев из разных источников. Подрезание перьев – важная часть ухода за птицей. [i]
Хотя свободный полет птицы по дому – это прекрасно и естественно, он нередко становится причиной несчастных случаев.  [ii] Подрезание перьев производится прежде всего ради безопасности самой же птицы.[iii]

Зеркало или большое окно кажутся птице выходом в другое помещение. Влетев в стекло, птица может получить серьезные повреждения – сломать шею и даже погибнуть.[iv]

Список опасностей, подстерегающих птицу в свободном полете, весьма обширен. Это, например, открытые емкости с водой, в частности, унитаз и цветочные вазы; соблазнительные провода, которые так и тянет погрызть; незанавешенные окна, грозящие сотрясением мозга и переломом шеи; вентиляторы, которые могут убить птицу одним ударом лопасти; всевозможные узкие закоулки, откуда нельзя выбраться, а также горячие кастрюли, плиты, камины и сильно нагревающиеся галогеновые лампочки. [v]

Потерять птицу очень больно. Но больней если несчастье можно было предотвратить. Открытое окно или дверь – приглашение для птицы с неподрезанными перьями. Даже самая ручная птица может вылететь и уже никогда не вернуться. Многие хозяева выносят птиц на улицу побыть на солнце, возят их к ветеринару или берут с собой в поездки. Подобные обстоятельства предоставляют птице массу возможностей улететь, несмотря на все предосторожности, и подрезание перьев – простой способ не допустить этого. [vi]

Подрезав перья, вы прежде всего заметите перемену в поведении птицы на занятиях. В конце концов, зачем птице выполнять команду вперед, если она может просто улететь от вас. [vii]

Перечисленные выше мнения примерно объясняют, почему подрезание перьев считается способом обезопасить птицу. Стоит также упомянуть о том, что свободно летающая птица имеет доступ к случайно не убранным лекарствам и таким ядовитым веществам, как свинец и цинк например, в составе красителей. Сейчас вам, вероятно, захотелось бросить читать, немедленно пойти и подрезать перья своему питомцу. Не спешите, давайте сначала посмотрим и на обратную сторону медали и обсудим все за и против, в конце концов, наше собственное логическое мышление ничуть не хуже чьего-то чужого мнения. Но для начала, мне кажется, нужно усвоить несколько важных вещей о строении птиц. Знаете ли вы, что все в организме птицы приспособлено для полета? Скелет птицы состоит из легких, полых внутри костей, дополненных внутренним каркасом для придания каркасу необходимой прочности, и в то же время позволяющих ему сохранять легкость. Пищеварительная система птицы работает быстро, чтобы забирать из пищи питательные элементы и избавляться от остатков – лишнего веса – как можно скорей. Зоб позволяет птице при необходимости улететь с места, где она кормится, до начала пищеварительного процесса. Таким образом, птица поглощает максимальное количество пищи и при этом подвергается минимальному риску стать жертвой хищника. Есть мнение, что некоторые птицы в полете прикрывают роговицу третьим веком, чтобы она не пересыхала – наподобие защитных очков. Дыхательная система у птиц устроена гораздо эффективней, чем у млекопитающих, поскольку кислород проходит через нее постоянно, и при вдохе, и при выдохе. Помогут ли эти знания разрешить наш спор, будет ясно немного позже, но я считаю, что это просто необходимо знать владельцу птицы.

Итак, рассмотрим подробней причины, по которым птицам подрезают перья.


Безопасность -  если птица влетит в кухню, она может приземлиться на горячую плиту, газовую горелку или даже свалиться в кастрюлю с горячей жидкостью. Это так. Если вы позволяете птице летать по кухне, когда готовите, велика вероятность травмы, но зачем вам птица в кухне? Разве здравый смысл не подсказывает, что птица должна быть заперта в клетке, пока вы готовите пищу, если уж нет способа не допустить ее на кухню?

Птица может утонуть в унитазе или раковине.
Безусловно, птица может утонуть в любой емкости с жидкостью, если упадет в нее. Чтобы спасти любимца от смерти в унитазе, нужно всего лишь  держать либо крышку унитаза, либо дверь туалета закрытой. И то, и другое очень быстро входит в привычку, даже у детей. Если же дети все-таки забывают о мерах предосторожности, то вы, как ответственный хозяин, всегда можете заглянуть в туалет и проверить, грозит ли птице опасность. Если вы держите раковину наполненной водой, прикрывайте и ее тоже.

Птицы с неподрезанными перьями пытаются пролететь сквозь зеркала, окна и стеклянные двери, и получают травмы. Больше всего зеркал, как правило, в ванной комнате, так что, закрывая в нее дверь, вы исключаете сразу две угрозы – врезаться в стекло и утонуть. Впрочем, немногие птицы летают в ванну сами по себе, когда там нет людей. Зеркала в остальных комнатах можно показать птице, постучав по ним пальцем, и повторить процедуру знакомства несколько раз. Можно также завешивать зеркала или ставить перед ними предметы. Окна представляют реальную опасность, которую можно нейтрализовать разными способами – закрывать шторы или ставни, пока птица летает, клеить на стекло наклейки и переводные картинки или крестики из белого скотча. Можно затянуть стекло пленкой. Есть люди, которые покрывают окно слоем сухого стеклоочистителя и по чуть-чуть его смывают, чтобы птица постепенно привыкала, что через стекло пролететь нельзя. Другие постоянно подносят птицу к окнам и постукивают по ним. Окна опасность, о которой обязательно нужно помнить. Но почему же, зная, как умны птицы, мы не верим, что им можно объяснить, что такое стекло?
Итак, к чему мы пришли на данном этапе?

Если птица влетит в кухню, она может приземлиться на горячую плиту, газовую горелку или даже свалиться в кастрюлю с горячей жидкостью. Птица может начать грызть провода электропитания под напряжением или попасть под лопасть вентилятора. Птица может утонуть унитазе или раковине. Летая, где хочет, птица легко доберется до ваших моющих средств, свинцовой детали рамы вон той картины на стене и прочих ядовитых веществ. [viii]

Неужели нельзя избежать этих опасностей, если у вашей птицы подрезаны перья? Единственный ли это выход подрезать их? Давайте посмотрим на проблему с другой стороны. Может ли подрезание перьев в свою очередь причинить птице какой-либо вред? Плохо летающая птица передвигается по полу, где ей также грозят опасности. На полу на птицу легко наступить или наехать креслом на колесиках. Гуляющая по полу птица может забраться под раскладывающуюся мебель, где ее легко повредить механизмом или прищемить. На полу птица доступна другим домашним животным. Электропроводка и розетки часто также расположены именно невысоко от пола. Возможно, сейчас вы думаете, что эти предостережения притянуты за уши. На самом деле, они ничем не хуже аргументов в пользу подрезки. Теперь вернемся к сайтам, которые рекомендуют подрезать перья, и посмотрим, не пропустили ли мы какой-нибудь ценной информации. Если перья слишком сильно обрезаны, птица не может управлять полетом, и имеет шанс врезаться в какой-либо предмет на пути или упасть. Это грозит повреждением клюва, киля или переломом лапы, если птица неудачно упадет на землю.[ix]

Если птица не научится правильно приземляться – раскрывая хвост и поднимая крылья – то с подрезанными перьями она может получить перелом клюва или лапы, когда, испугавшись, резко взлетит с жердочки или клетки и начнет падать.[x]

Важно, чтобы перья на обоих крыльях были подрезаны равномерно, так, чтобы птица могла планировать на пол, а не падать, как кирпич (упав, птица может заработать перелом или трещину лапы или повредить клюв, что повлечет за собой сильное кровотечение)[xi]

Даже при самой умелой подрезке птица может врезаться в окно или упасть на пол и повредить кончик клюва. Даже если несильно поврежден самый-самый кончик, птица не может есть, лазить, ничего подбирать и испытывает боль. Треснувший клюв болит примерно так же, как сломанный зуб.[xii]


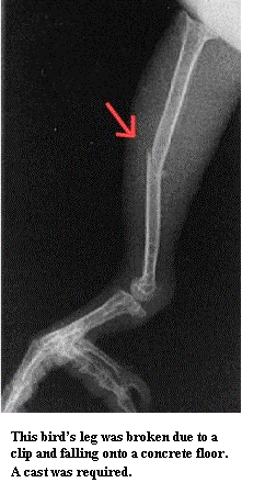
Эта птица сломала лапу, упав на бетонный пол, потому что у нее были подрезаны перья. Этой птице пришлось перенести несколько операций после повреждения киля, произошедшего из-за подрезания перьев. Часть киля была удалена Итак, что мы видим? Разные источники пишут примерно одно и то же, но что стоит за их словами? Подумайте, что на самом деле имеется в виду?

Мы читаем: неправильная подрезка… Слишком сильно подрезаны перья… Подрезка, при которой птица не может летать. Фактически, нам говорят: чтобы уберечь птицу от опасностей, связанных с полетом, нужно подрезать ей перья, но не настолько, чтобы птица не смогла летать.

Но если птица и с подрезанными перьями сможет летать, как же она избежит всех перечисленных опасностей? Если подрезка означает всего лишь, что птица может летать параллельно полу, но не взлетать вверх, то насколько в реальности мы ее обезопасим?

Хозяева птиц должны понимать, что перья подрезаются только для того, чтобы птица не могла взлетать вверх, но при этом она сохраняет способность к горизонтальному полету, а на ветру может даже набрать высоту. Нужно предупреждать, что птицу нельзя выносить на улицу кроме как в переноске или клетке, так как она может улететь или, испугавшись, навредить себе неудачным полетом.[xiii]

Подрезание перьев не означает, что птица не сможет улететь! Оно только дает владельцу ложное чувство безопасности, которого нет у владельцев полноценно летающих птиц.

Давайте поговорим о главном страхе владельца птицы. Ваша птица вылетела из двери и улетела. Это мучительный момент. Вас переполняет паника, вина и беспокойство. Сможете ли вы найти своего питомца? Не обнаружит ли его раньше вас соседская собака? Не собьет ли его машина? Найдет ли он что-нибудь поесть?

Итак, представим, что птица улетела. Как вы думаете, у какой птицы больше шансов выжить? Той, что свободно летает, маневрирует, может взлететь на дерево, умеет приземляться – или той, у которой подрезаны перья? Птица с подрезанными перьями тратит много энергии, чтобы летать, плохо маневрирует, скорее всего, опасается приземлиться, потому что не знает, как это сделать, не может слететь с дерева или, наоборот, улететь от собаки, которая подбежала ее обнюхать. Птица на крыле, как правило, в большей безопасности, чем птица на газоне.

Мы еще ни разу не упомянули о вреде, который подрезание наносит психологии и физиологии птицы. Некоторые данные позволяют предположить, что подрезка делает птиц более пугливыми. Логично, что раз с подрезанными перьями птица не могла бы улететь от хищника, она чувствует себя более незащищенной. Птица создана для полета и чувствует себя счастливой и в безопасности, летая. Если птица не может летать, ее сердечно-сосудистая система не работает должным образом, и не может оставаться здоровой. Птицы должны летать для удовольствия, для физического упражнения и чтобы избегать опасности. Птица, которая не может летать, боязлива, потому что знает, что она уязвима.[xiv]

Полет нужен птице не только как естественное средство передвижения, но и как способ самовыражения. Многие виды проводят часы в полете, как другие проводят их за песней. Полет – искусство сродни музыке, в основе его лежит ритм и чувство движения; полет – это удивительное средство самовыражения, которым птицы владеют в совершенстве.[xv]

В своей лекции в Университете Техаса Фэриш Дженкинс, сравнительный анатом из Гарварда, рассказывал об опыте обучения скворцов полету в аэродинамической трубе. Он снимал птиц в полете на камеру – на обыкновенную и рентгеновскую. Проявленная пленка показала, что дыхательная система птицы работает с оптимальной мощностью, когда птица летит. Кости скворцов, их мышцы и воздушные мешки работали в унисон при каждом взмахе крыльев. Удивительней всего был тот факт, что грудинная кость совершала движения вперед и назад, то оказывая давление на воздушный мешок, то позволяя ему раздуваться. Это движение обеспечивает максимальную эффективность газообмена в легких птицы. Таким образом, нужда птицы в продолжительном полете напрямую связана с нуждой в максимальной дыхательной активности. Кости, мышцы, легкие и воздушные мешки работают вместе для создания сложного, но эффективного дыхательного аппарата.
[xvi] [xvii]


Так почему же мы подрезаем птицам перья на крыльях? Нам много лет твердят, что это необходимо для безопасности птицы. Возможно ли, что нас ввели в заблуждение?

Как подрезание может служить безопасности птицы, когда оно скорее травмирует ее, лишая полета? О какой безопасности может идти речь, когда мы отнимаем у них естественный способ спасаться от врагов и в то же время держим в одном доме с хищниками? Что значит «для их безопасности», когда многие птицы начинают самоощипываться после подрезания? Какая безопасность, когда наши дома напичканы опасностями, а мы при этом лишаем птицу возможности маневрируя их избежать? Что хорошего в том, что у птицы атрофируются мышцы? А в том, что без полета дыхательная система не может полноценно функционировать?

Нет. Я могу сделать только один вывод – перья птицам подрезают по любой другой причине, но только не для пользы самой птицы.

Недавно эта же тема, польза и вред подрезания перьев, обсуждалась в электронной рассылке, и один ответ показался мне особенно удачным. Публикую его ниже, с согласия автора, как пищу для размышлений.

XXXX

Все приведенные примеры, конечно, очень жизненны и распространены. Однако я могу привести вам столько же примеров трагических несчастных случаев, произошедших с птицами с подрезанными перьями.

Здравый смысл необходим во всех сферах жизни. Однако даже и здравый смысл не спасает от непредвиденных трагических обстоятельств. Используя ту же логику, которую вы сейчас продемонстрировали, нужно бы запретить взрослым водить автомобили, детям – кататься на велосипедах и скейтах, а космонавтам следует перестать наконец рисковать собой в открытом космосе.

Но конечно мы все оцениваем ежедневные риски, которым подвергаемся, как оправданные.

Смерть птицы, наступившая в результате домашнего несчастного случая, – трагедия. Однако увы, смерть или травма ребенка или даже взрослого, произошедшая в тех же обстоятельствах, – куда более обычное дело. Означает ли это, что детей нужно запирать в клетках или водить на поводке? Может быть, необходимо ограничивать доступ к возможным источникам опасности всем взрослым в зависимости от результатов теста на IQ? Кстати, не такая уж плохая идея!

Если кто-то хочет наслаждаться общением со своей птицей и не лишать ее полета, принимая при этом необходимые меры предосторожности и не упуская из виду факторы риска, – я говорю им: "Так держать"!

Если же кому-то нужен нелетающий пучок перьев, который никогда не сможет никуда деться от хозяина, мое предложение – завести бентамку, домашнего гуся или ручного эму.

Всегда найдутся люди, в силу отсутствия здравого смысла способные пойти на улицу с недрессированной летающей птицей, не думая о последствиях. Эти люди потом будут беспомощно смотреть, как их птица улетает прочь. Но опять же, может и неплохо, что птица сбежит от таких глупых хозяев.

За что я люблю птиц:
1- Их способность к полету
2- Их прекрасная расцветка
3- Их естественное поведение
---
1000- Их способность к разговору
1001- За то, что их можно потискать
1002- За их ласковость

XXXXXXX

Что же с нами не так? Может, мы просто ленимся? Мы считаем нормальным тренировать собак и водить их на курсы дрессировки, но вместо того, чтобы так же дрессировать птицу – подрезаем ей перья. Большинства проблем с летающей птицей можно избежать, потратив некоторое время на тренировки.

Тренировки? Ну конечно! Мы покупаем эти прекрасные создания, рассказываем всем, как они умны, но когда доходит до дрессировки – буксуем. Почему нам кажется, что птиц нельзя дрессировать? Ведь любое поведение, птицы в том числе, завязано на последствиях.

Скорей всего, вам понадобятся следующие команды для работы с птицей:
Ко мне (любые слова, означающие «лети ко мне»)
На месте (не лети ко мне)
Прочь оттуда (лети с того места, где сидишь, в другое место, где сидеть можно)
Лети (в значении «слезь с меня»)

Эти команды прекрасно дополнят традиционные «вперед» и «назад».

Итак, с чего же начать? Прежде всего помните, что любое обучение, любое поведение работает по схеме «причина – следствие». Сделай А, получишь Б. Если Б – что-то, что хочется получить обучаемому, то А будет повторяться или увеличиваться. Это и есть позитивное подкрепление, оптимальный способ дрессировки и корректировки поведения.

Обучение начнем с того, что будем вознаграждать птицу каждый раз, как она прилетает к хозяину. Сначала вам придется давать команду в тот момент, когда птица уже летит к вам. Нужно уловить поведение, которое вы хотите тренировать, и вознаградить его, чтобы птица поняла, чего вы, собственно, хотите. Поэтому начать лучше с фиксации поведения, которое птица уже демонстрирует сама. После того, как в сознании птицы установится связь между устной командой и действием, переходите к следующему этапу – вознаграждайте ее, только если она выполнила произнесенную команду. Это не означает, что нужно наказывать птицу, если она к вам прилетела, когда вы ее не звали, а только что в этом случае ее не нужно вознаграждать.

Начните с небольшого расстояния. Используйте стенд. Постепенно становитесь все дальше и дальше от птицы, не торопитесь и не уходите слишком далеко. Со временем выходите за пределы видимости, за угол, в другую комнату. Не забывайте щедро расточать похвалу и награду, как только птица выполнит то, что от нее требуется. Если вы запаздываете с вознаграждением, процесс обучения также затормозится.

Чтобы этого не произошло, многие используют кликер – он помогает четко обозначать требуемое действие. Вместо кликера можно просто похвалить птицу, перед тем как вознаградить ее иначе. Чтобы не запутать птицу, всегда формулируйте команду одинаково. Неудачи в приручении – следствие либо недостаточной мотивации (поощрение недостаточно привлекательно), либо недостаточно четко сформулированных инструкций. Птица должна точно понимать, чего вы от нее хотите. Для того чтобы тренировать команду «на месте», нужно поощрять птицу оставаться на присаде или стенде, в то время как вы отходите от нее. Одновременно с командой можно использовать жест – поднимать руку, как бы говоря «стоп». Закрепив действие, не забывайте его вознаграждать время от времени. Хорошо, если то место, где вы хотите, чтобы птица оставалась, само по себе располагало оставаться в нем – тут помогут любимые игрушки, а также предметы, которые можно грызть и рвать всласть.

Используя описанный систематический подход, можно обучить птицу чему угодно. Нужно только не пожалеть немного времени.

Птицам нравится учиться, похоже, что им нравится думать. Они учатся быстро и легко. Ни к чему превращать обучение в рутину – вам понадобится всего несколько минут в день, хотя чем чаще вы повторите урок, тем быстрей получите результат.

Я хочу сейчас обратить ваше внимание на еще один аргумент в пользу подрезания перьев. Он звучит так: «Я подрезаю своей птице перья, чтобы она сидела на игровом стенде, а не летала по дому».

Из того, что я выше писала о поведении, не следует ли, что если постараться сделать игровой стенд таким, чтобы он нравился птице – разве тогда птица, летающая или нет, не предпочтет остаться на нем сама и никуда не улетать? И если летающая птица не хочет сидеть на стенде, не следует ли из этого, что он ей просто не нравится? Однако вместо того чтобы об этом подумать, мы пытаемся заставить птицу принять наши условия, лишая ее естественного способа передвижения. Когда вы в сотый раз поднимете своего питомца с пола, чтобы усадить его на игровой стенд, отукда он спрыгнул, подумайте об этом.

Начиная эту статью, я хотела, чтобы мои читатели задумались и возможно поняли, что подрезать перья необязательно. Если перья подрезаны правильно, птица все равно достаточно хорошо летает, чтобы попасть в беду дома. Может быть, я вас и не убедила, но, надеюсь, вы поверили, что «птица с подрезанными перьями» не значит «птица, которой ничто не угрожает». Если вы по-прежнему собираетесь подрезать перья своей птице – причина вашего решения, видимо, не в том, чтобы обеспечить ей безопасность.

Я мечтаю, чтобы когда-нибудь люди научились адаптироваться к соседству с птицей, вместо того чтобы пытаться адаптировать птицу к соседству с человеком.
С самого зарождения человечества люди наблюдали за ними, изучали их, мечтали повторить то, что они делают. Летать!
Разве не странно, что то, чего мы так желали для себя, мы с легкостью готовы отнять у существа, которое как раз и подарило нам вдохновение.




[i] Margaret A.Wissman, D.V.M., D.A.B.V.P.http://www.exoticpetvet.net/avian/clip.html
[ii] Thomas L Goldsmith, DVM MS http://www.toolady.com/library/avian/articles/wingbeaknail.htm
[iii] Bobbi Brinker http://www.birdsnways.com/wisdom/ww25ev.htm
[iv] Judy Leach http://www.petparrot.com/ParrotCareWingClipping.htm
[v] Mary Beth Voelker http://www.cockatiels.org/articles/care/clipfaq.html
[vi] Carol Highfill http://www.birdsnways.com/wisdom/ww19eii.htm
[vii] http://www.geocities.com/heartland/hills/5771/clip.html
[viii] Carol Highfill http://www.birdsnways.com/wisdom/ww19eii.htm
[ix] Carol Highfill http://www.birdsnways.com/wisdom/ww19eii.htm
[x] Marcy Covault http://www.birdsnways.com/wisdom/ww64eii.htm
[xi] Margaret A. Wissman, D.V.M., D.A.B.V.P. http://www.exoticpetvet.net/avian/clip.html
[xii] Thomas L Goldsmith, DVM MS http://www.toolady.com/library/avian/articles/wingbeaknail.htm
[xiii] Margaret A. Wissman D.V.M/. D.A.B.V.P. http://www.exoticpetvet.net/avian/wings.html
[xiv] David McCluggage, DVM “Holistic Care For Birds” pp50,51
[xv] Dr. Theodore Barber ”The Human Nature of Birds” pp 167
[xvi] Bill Arbon http://home1.gte.net/impekabl/Birdflight.html
[xvii] http://biology.umt.edu/flightlab/pdf/Boggs.etal.97b.pdf